Gebitsslijtage kan ontstaan door:
Daarom moeten bij een behandeling meestal alle tanden en kiezen worden behandeld. De beste manier is om dat met composiet te doen, dat wordt geplakt aan de tand. Dan hoeft er weinig aan de toch al weggesleten tanden te worden geslepen en het is tevens de meest voordelige behandeling.

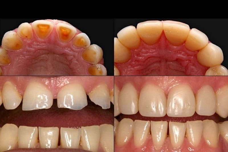
Door Maagzuur weggesleten gebit , rechts na herstel met composiet.

Als gevolg van sportdrank en tandenknarsen gesleten gebit, rechts na herstel met composiet.